
Trusted Orthodontists in East San Antonio, TX
Affordable Braces & Invisalign for Adults and Children
Among the Best Orthodontists in East San Antonio
We are a doctor-owned orthodontic practice led by Dr. Arslan, a board-certified orthodontist and biomechanics specialist, alongside Dr. Ayla, an experienced orthodontic provider. Using advanced digital technology and a personalized approach to care, our team is trusted by families throughout the area. We are not part of a corporate network and proudly serve East San Antonio with exceptional orthodontic care, without the inconvenience of traveling downtown or across the city.
Meet Dr. Fateh Arslan
Your Top-Rated Family Orthodontist East San Antonio Orthodontist


Meet Dr. Ayla Idilbi
Your Top-Rated Family Orthodontist East San Antonio Orthodontist
Starting Orthodontics is Easy
Schedule
Choose Your Plan
Same-Day Braces
Core Orthodontic Services – Orthodontic Treatment in East San Antonio, TX
Braces
Invisalign & Angel Aligners
Airway Orthodontics
Orthodontics for Adults
Orthodontics for Children
TMJ Treatment
Bite Problems & Airway Habits
Overbite
Underbite
Crossbite
Open Bite
Crowding
Spacing
Tongue Thrust
Mouth Breathing
Cost & Insurance Braces & Invisalign in East San Antonio
At Fiesta Orthodontics – East San Antonio, we make orthodontic care simple and affordable.
- Straightforward pricing with flexible, budget-friendly payment options
- We take most major PPO dental insurance plans (Delta Dental, Blue Cross Blue Shield, Aetna, Guardian, MetLife, UnitedHealthcare) and handle the paperwork and claims
- Transfer patients are welcome. We’re glad to continue treatment from another office


Advanced Orthodontic Appliances
Palatal Expander
Retainers
TMJ Mouth Guard
Herbst Appliance
Reverse Pull Headgear

Advanced Technology for Precise, Comfortable Orthodontic Care
- Digital Imaging & 3D Evaluations: High-quality scans capture detailed 3D images of teeth and jaws for accurate, personalized treatment planning.
- Braces Options: Reliable metal braces and clear ceramic braces designed to align teeth effectively while maintaining a natural appearance.
- Clear Aligner Options: Invisalign® and Angel Aligners™ offer discreet, removable orthodontic solutions.
- Emergency Support: Prompt attention for urgent orthodontic needs.
What Our Patients Say
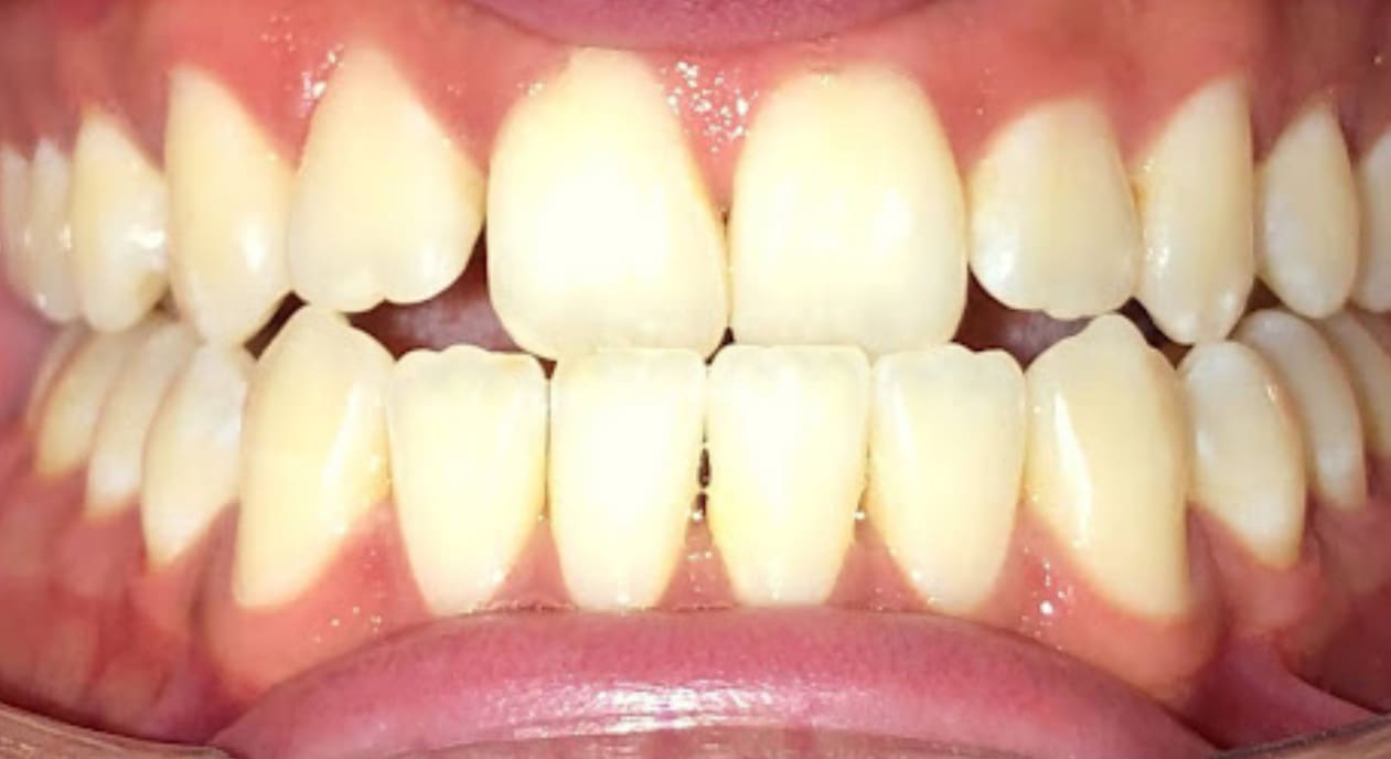
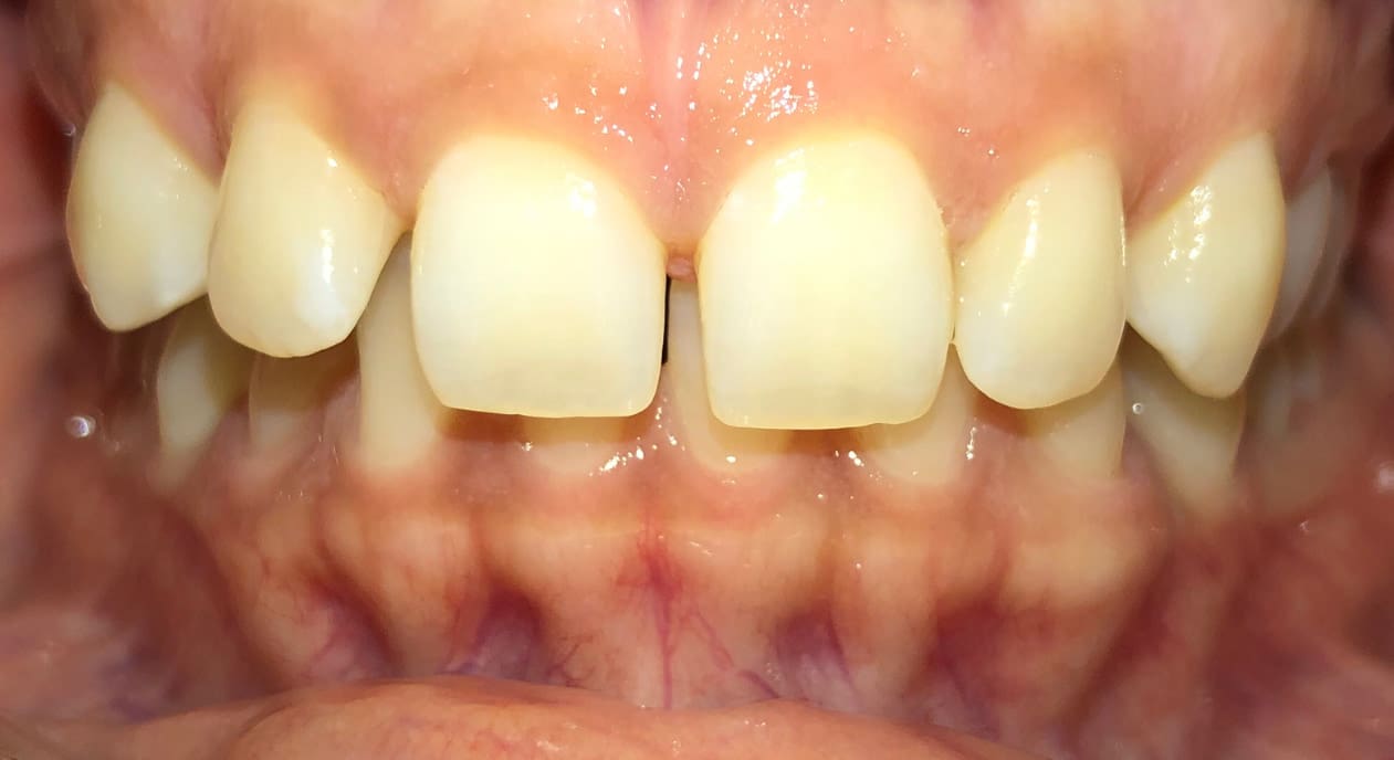
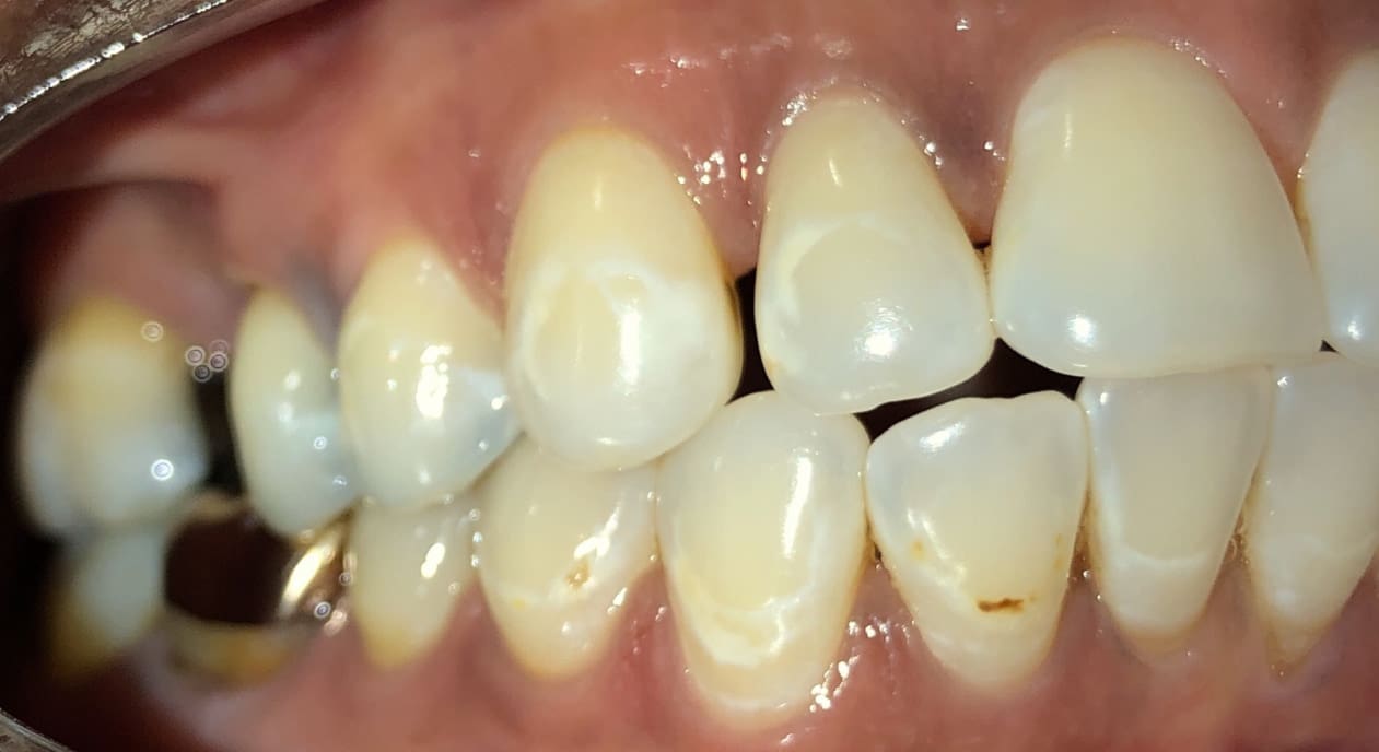
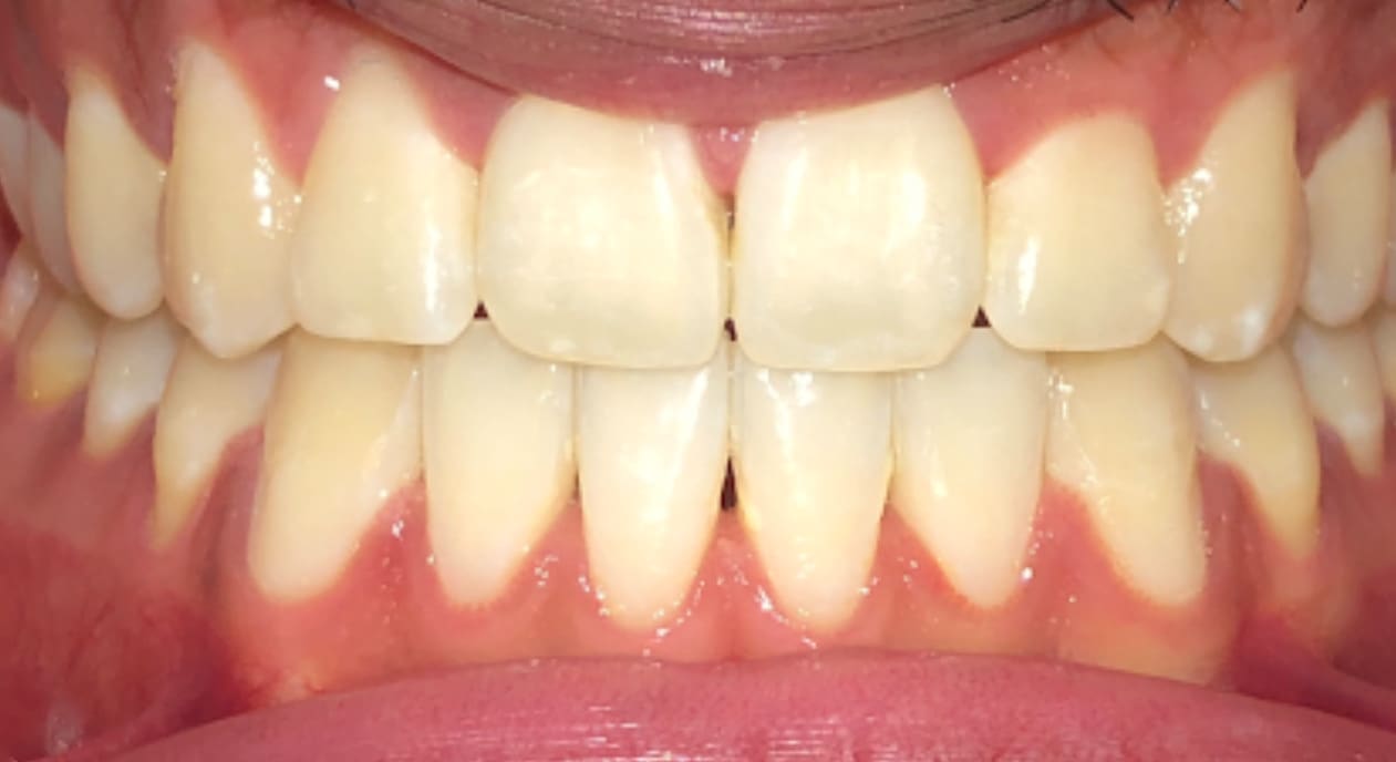
Smile Gallery: Invisalign & Braces Before‑and‑After in East San Antonio, TX
Underbite
Spacing
Flaring
Inside Fiesta Orthodontics – East San Antonio Braces & Invisalign
Your Orthodontic Office in East San Antonio
6658 Summer Fest Dr
Suite 104
San Antonio, TX
78244
Conveniently located near popular landmarks like the East Central ISD, Judson High School, and Converse City Park, our office is just off Loop 410 and a short drive from Interstate 10.
Minutes away from: The Forum at Olympia Parkway, Rackspace Technology, and Eastgate Park. Only 20 minutes from Downtown West San Antonio and East San Antonio and 10 minutes west of Universal City. Easily accessible and perfectly situated for residents across East San Antonio.
Our practice proudly serves the vibrant communities of East San Antonio, welcoming patients from Converse, Judson, Windcrest, and the surrounding areas.





