
Trusted Orthodontists in West San Antonio, TX
Affordable Braces & Invisalign for Adults and Children
Among the Best Orthodontists in West San Antonio
We are a doctor-owned practice led by Dr. Arslan, a board-certified orthodontist and biomechanics specialist, together with Dr. Ayla, a skilled orthodontic provider. Our team uses modern digital technology paired with personalized care trusted by many families in the area. We are not part of a corporate network. We believe families in West San Antonio should receive exceptional care without the burden of traveling downtown or across the city.
Meet Dr. Fateh Arslan
Your Top-Rated Family Orthodontist West San Antonio Orthodontist


Meet Dr. Ayla Idilbi
Your Top-Rated Family Orthodontist West San Antonio Orthodontist
Starting Orthodontics is Easy
Schedule
Choose Your Plan
Same-Day Braces
Core Orthodontic Services – Orthodontic Treatment in West San Antonio, TX
Braces
Invisalign & Angel Aligners
Airway Orthodontics
Orthodontics for Adults
Orthodontics for Children
TMJ Treatment
Bite Problems & Airway Habits
Overbite
Underbite
Crossbite
Open Bite
Crowding
Spacing
Tongue Thrust
Mouth Breathing
Cost & Insurance Braces & Invisalign in West San Antonio
At Fiesta Orthodontics – West San Antonio, we make it easy to achieve the smile you deserve.
- Upfront pricing with flexible payment plans to fit your budget
- We accept major PPO dental insurance (Delta Dental, Blue Cross Blue Shield, Aetna, Guardian, MetLife, UnitedHealthcare) and file the claims for you
- Transfer patients welcome. We’re happy to take over care from another office


Advanced Orthodontic Appliances
Palatal Expander
Retainers
TMJ Mouth Guard
Herbst Appliance
Reverse Pull Headgear

Advanced Technology for Precise, Comfortable Orthodontic Care
- Digital Imaging & 3D Evaluations: Advanced imaging provides detailed 3D views of teeth, jaw alignment, and airway to support accurate, personalized treatment planning.
- Braces Options: Durable metal braces and aesthetic clear ceramic braces for effective and reliable smile alignment.
- Clear Aligner Options: Invisalign® and Angel Aligners™ provide discreet, comfortable orthodontic treatment.
- Emergency Support: Timely treatment for urgent orthodontic concerns.
What Our Patients Say
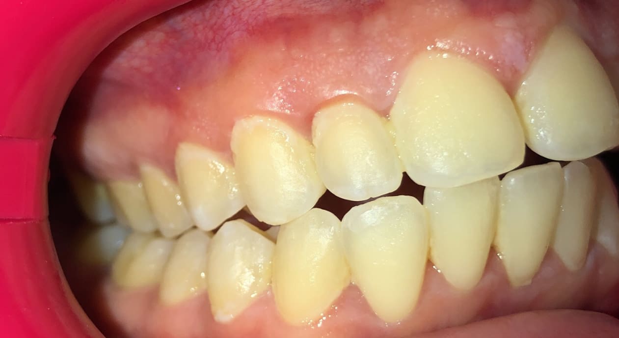
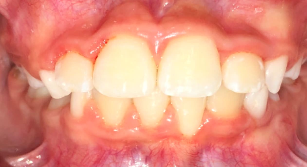
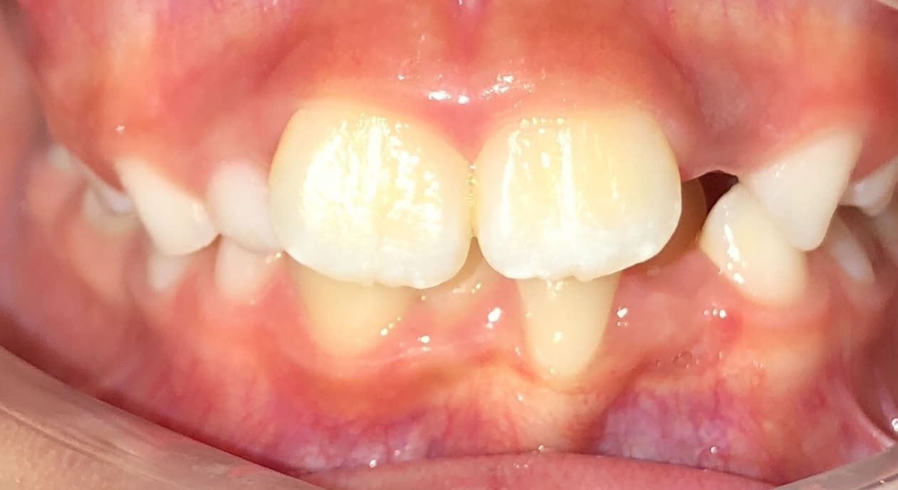
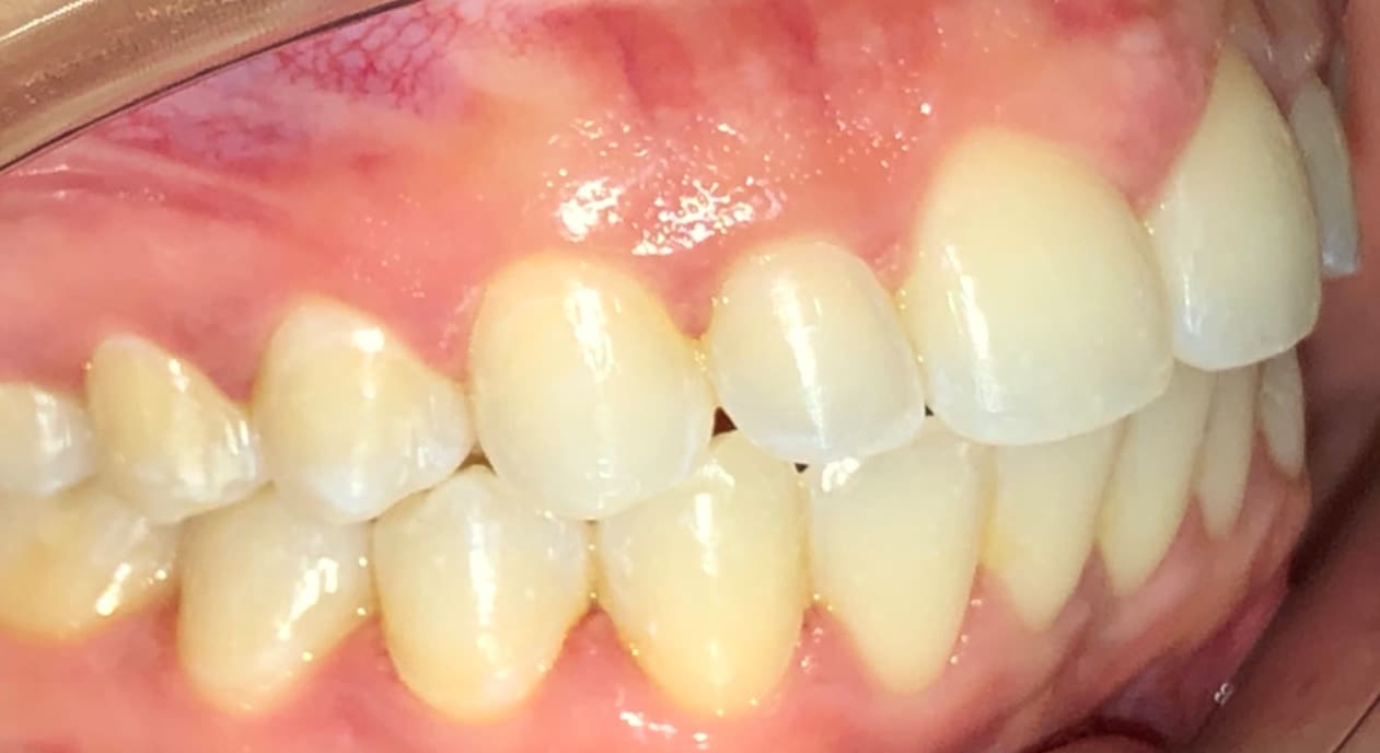
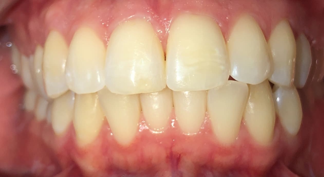
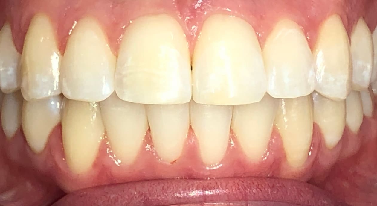
Smile Gallery: Invisalign & Braces Before‑and‑After in West San Antonio, TX
Open Bite
Lower Crowding
Open Bite
Inside Fiesta Orthodontics – West San Antonio Braces & Invisalign
Your Orthodontic Office in West San Antonio
10865 Shaenfield Rd
Suite 1111
San Antonio, TX
78254
Located near popular landmarks such as Government Canyon State Natural Area, Northwest Vista College, and Shaenfield Ranch Park, our office is conveniently located just off Loop 1604 and a short drive from Culebra Road and Highway 151.
Minutes away from: Alamo Ranch Shopping Center, SeaWorld West San Antonio and East San Antonio, and OP Schnabel Park. Only 25 minutes from Downtown West San Antonio and East San Antonio and 15 minutes west of Helotes. Easily accessible and conveniently situated for residents across Northwest West San Antonio and East San Antonio.
Our practice proudly serves top communities in West San Antonio, seeing patients from Alamo Ranch, Helotes, Wildhorse, Stillwater Ranch, Schaenfield Place, Kallison Ranch, Silver Oaks, and The Retreat at Willow Creek.





